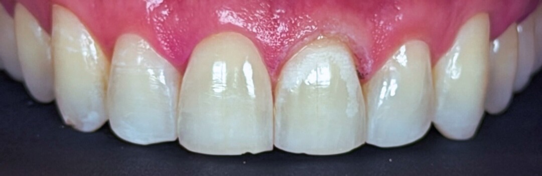
Gum Lift
Patient wanted a minimal gum lift on his left central tooth to match the right central tooth. We used our Solea, CO2 laser to get his desired results with minimal numbing. The after photo is immediately after his procedure. There are no signs of burn or bleeding on his gums, which is always a plus. Hence no downtime.